琵琶湖博物館 WEB図鑑「珪藻」
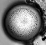
Melosira varians C.Agardh
10μm
|
| A: 斐伊川(島根県) |
- 学名
- Melosira varians C.Agardh, Regensburg Flora 2: 628. 1827.
- 基礎異名
- その他異名
- 和名
- ナミツツガタケイソウ(上山・小林, 1986) チャヅツケイソウ (田中, 2002)
- 類似種との区別点
- 報告があった場所
- 汎世界種 (Krammer and Lange-Bertalot, 1991a)。日本からの報告も多い。
- 生態情報
- 様々な水域に出現する;春に流れの遅い河川でしばしば大発生するようである (Krammer and Lange-Bertalot, 1991a)。油汚染の指標種として知られている (Palmer, 1977)。有機窒素を利用できる (Van Dam et al., 1984)。

10μm